新型冠状病毒(2019-nCoV) 抗原检测试剂盒
注册证号:国械注准20223400361
注册证号:国械注准20223400361
作为一种全球最常见的先天性疾病原因,人巨细胞病毒(HCMV)每年会感染的新生儿数量约为100万。
这种病毒感染可导致婴儿的终身后遗症,如感觉神经性听力损失和脑损伤。对于免疫功能低下的个体患者,HCMV感染也会导致严重的疾病负担。

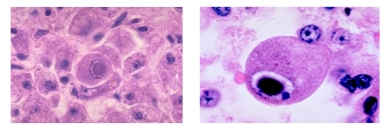
HCMV(人巨细胞病毒)
人巨细胞病毒(human cytomegalovirus,HCMV)是一种疱疹病毒科的β属疱疹病毒,亦称人类疱疹病毒5型。由于感染的细胞肿大,并具有巨大的核内包涵体,所以称为巨细胞病毒。人巨细胞病毒具有高度物种特异性,人类是其唯一宿主。

图片来源:儿科护理公众号
先天性CMV感染约占新生儿的1%-2%,绝大多数(约90%)先天性感染的胎儿出生时无症状属于隐性感染。约有10%在出生时或出生不久即表现出严重的甚至危及生命的临床症状,部分患儿可有器官畸形、神经系统后遗症等,对优生优育威胁极大。
发达国家人群中大多60%-80%的个体在成年前感染CMV,发展中国家感染率则高到90%以上,发展中国家的大多数儿童在3岁前感染CMV。HCMV一旦感染,免疫系统无法将其彻底清除,病毒会建立终身潜伏期。
HCMV传播
● 传染源:
HCMV携带者及患者是最广泛的传染源,HCMV感染后主要分布于唾液腺、乳腺、肾脏、生殖腺及外周血单个核细胞、淋巴细胞,继而持续或间歇性地经唾液、乳汁、尿液、宫颈/阴道分泌物、精液等排出。原发感染后可持续从体液中排病毒数年之久。
● 传播途径
1、先天性感染
即为母婴感染。孕妇感染CMV后,通过胎盘将此病毒传播给胎儿,母亲在感染后可产生抗体,以后再次生育胎儿受感染的机会较少或症状较轻,甚至无症状,但不能完全阻止垂直传播的发生。
2、后天获得性感染
包括围产期新生儿经产道或母乳感染。密切接触感染,主要通过飞沫或经口感染,常经玩具传播给其他儿童。经输血、器官移植感染。
● HCMV高发人群
1. 母亲孕期有原发感染或再发感染的新生儿;
2. 1岁以下婴儿;
3. 艾滋病患者;
4. 接受骨髓、干细胞或实体器官移植者;
5. 接受大剂量或长期免疫抑制剂或糖皮质激素治疗者;
6. 其他免疫抑制的患儿。
年龄愈小,易感性愈高,症状也愈重,年长多呈不显性感染。CMV为细胞内感染,虽血中有抗体,也不能避免细胞内此病毒的持续存在,故初次感染后,CMV很难被宿主完全清除。
HCMV感染的临床表现
研究发现,生命早期的CMV感染,不管是孕期的胎儿还是围产期的新生儿,都可能带来严重的后果,感染越早损伤越重。
在临床中,HCMV感染后大多数的临床表现为无症状性感染,与其他疱疹病毒相比,HCMV能感染大多数人体器官和细胞。对于免疫功能低下、器官移植后和化疗的患者来说,HCMV感染常常是致命性的。
虽然HCMV感染后绝大多数无症状,但是约有10-15%感染可致病,就是先天性人巨细胞病毒感染。宫内感染或者新生儿出生后2-3周内存在病毒排出的感染,定义为先天性巨细胞病毒感染。
先天性巨细胞病毒感染首先表现为孕妇的流产、死胎、死产。在活产儿中HCMV先天感染常有多系统器官受损或以下1种或多种表现不同组合形式。黄疸(直接胆红素升高为主)和肝脾大最常见。可有血小板减少性瘀斑,中枢神经系统受累如头小畸形、脑室扩大伴周边钙化灶、感音神经性耳聋、神经肌肉异常、惊厥和视网膜脉络膜炎。外周血异形淋巴细胞(异淋)增多,脑脊液蛋白增高和肝功能异常。常见腹股沟斜疝等畸形。

HCMV感染还参与多种慢性疾病的发生和发展,包括自身免疫性疾病、动脉粥样硬化、心肌炎等。更值得注意的是,越来越多的证据表明HCMV可能是一种致癌病毒,研究显示HCMV感染与肿瘤之间存在密切联系,在多种肿瘤组织例如脑胶质瘤、结肠癌、前列腺癌等肿瘤中存在HCMV的感染和表达。许多学者发现HCMV感染在肿瘤的发生、发展过程中起重要的作用,HCMV通过对肿瘤细胞周期、细胞的侵袭、血管生成、免疫反应和细胞凋亡等方面发挥作用。
HCMV感染的实验室证据
HCMV活动性感染的证据:
(1)直接证据:直接检查出病毒颗粒或病毒增殖产物。
1)病毒分离(短时培养后检测病毒IEA):病毒颗粒或巨细胞病毒包涵体(但其检出阳性率低)、病毒抗原(IEA、EA、PP65等)、病毒基因(mRNA);
2)HCMV DNA定量(尿液、唾液、血清/血浆):①血清或血浆病毒DNA阳性;②尿液、唾液高载量DNA或动态监测见载量明显升高提示活动性感染;③新生儿期检出病毒DNA是原发感染的证据;④全血或单个核细胞阳性不能排除潜伏感染,但病毒DNA高载量支持活动性感染。

(2)间接证据:血清学证据。
1)原发感染:①观察到抗HCMV IgG抗体转阳;②抗HCMV IgM阳性+抗HCMV IgG阴性或低亲和力IgG阳性;③新生儿期抗HCMV IgM阳性提示原发感染。
2)近期活动性感染:①急性期或恢复期双份血清抗HCMV IgG滴度≥4倍增高;②抗HCMV IgM和IgG双阳性。
HCMV的预防
针对HCMV感染,目前尚无有效的预防手段,相关疫苗仍处于临床试验中,HCMV与机体免疫系统的复杂相互作用使得有效疫苗的研制困难重重。目前临床预防措施包括尽量减少HCMV暴露、母婴传播阻断和药物预防。
HCMV感染的一个特殊高危因素是与2岁以下儿童密切接触,美国疾病控制中心建议对参与护理2岁以下儿童的孕妇(包括提供保健护理的医护人员、幼儿教师等)提供关于先天性HCMV感染预防措施的健康教育,即:不要与幼儿共用饮食、餐具或牙刷;亲吻儿童时避免唾液接触;更换尿布、喂养幼儿或擦拭幼儿鼻涕或唾液时避免皮肤接触幼儿粪便及分泌物,之后使用肥皂和水彻底洗手。
来源:医学界儿科频道、
儿科护理、SIFIC感染视界
由艾康生物整理发布
版权归原作者所有
如果有违规请联系删除
注册证号:国械注准20223400361